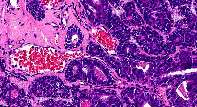
Dermatopathology Case 259 Get link Facebook X Pinterest Email Other Apps August 22, 2022 65-year-old male with a 3-month history of a mass involving the distal portion of the fifth finger on the right hand . Answer Get link Facebook X Pinterest Email Other Apps Comments
Dermatopathology Case 263 September 07, 2022 A 75 year old man with a skin lesion on the left side of the neck. Answer Read more
Dermatopathology Case 264 September 11, 2022 A 40 year woman with a lesion on the nose. Answer Read more
Dermatopathology Case 221 May 25, 2022 A 35 year old male with a papule on the face. Answer Read more
Comments
Post a Comment