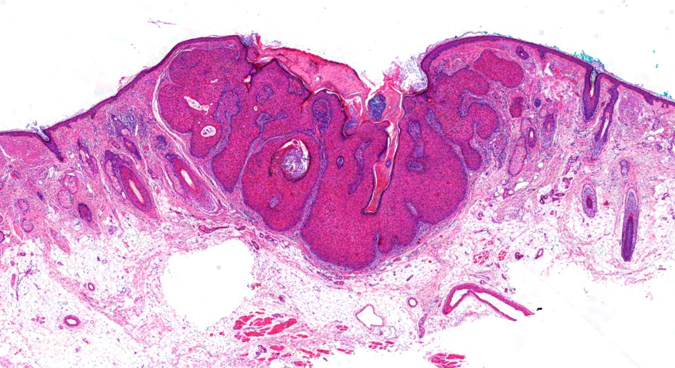
Dermatopathology Case 227 Get link Facebook X Pinterest Email Other Apps June 02, 2022 Solitary lesion on the upper lip of a 28 year old woman. Answer Get link Facebook X Pinterest Email Other Apps Comments
Dermatopathology Case 263 September 07, 2022 A 75 year old man with a skin lesion on the left side of the neck. Answer Read more
Dermatopathology Case 264 September 11, 2022 A 40 year woman with a lesion on the nose. Answer Read more
Dermatopathology Case 221 May 25, 2022 A 35 year old male with a papule on the face. Answer Read more
Comments
Post a Comment