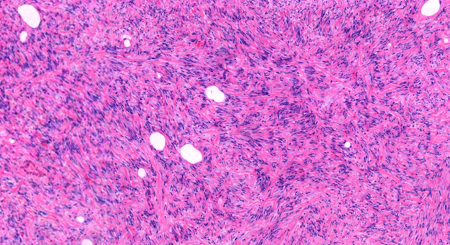
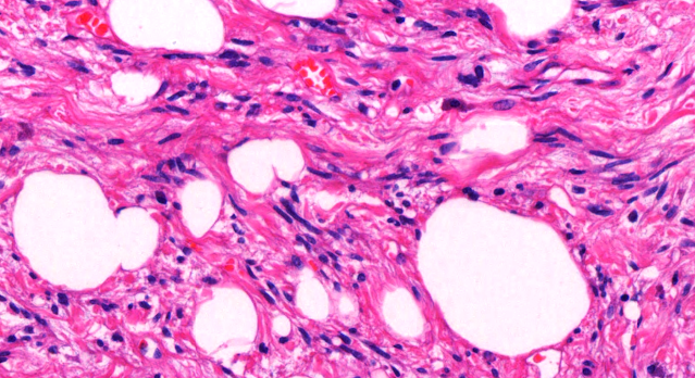
Dermatopathology Case 214 Get link Facebook X Pinterest Email Other Apps May 15, 2022 A 65 year old man with a soft tissue lump on the left shoulder. Answer Get link Facebook X Pinterest Email Other Apps Comments
Dermatopathology Case 263 September 07, 2022 A 75 year old man with a skin lesion on the left side of the neck. Answer Read more
Dermatopathology Case 264 September 11, 2022 A 40 year woman with a lesion on the nose. Answer Read more
Dermatopathology Case 221 May 25, 2022 A 35 year old male with a papule on the face. Answer Read more
Comments
Post a Comment