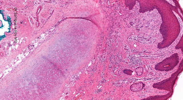
Dermatopathology Case 195 Get link Facebook X Pinterest Email Other Apps April 11, 2022 A 56 year old man presented with a painful ulcerated lesion on the right upper helix of 3 months' duration. Answer Get link Facebook X Pinterest Email Other Apps Comments
Dermatopathology Case 263 September 07, 2022 A 75 year old man with a skin lesion on the left side of the neck. Answer Read more
Dermatopathology Case 264 September 11, 2022 A 40 year woman with a lesion on the nose. Answer Read more
Dermatopathology Case 221 May 25, 2022 A 35 year old male with a papule on the face. Answer Read more
Comments
Post a Comment