Dermatopathology Case 185
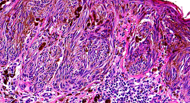
A 10-year-old boy, presented with an uniformly pigmented
lesion with regular margins. The lesion was located on the
medial aspect of the left knee.
Surgical excision with a 2-mm margin was performed.
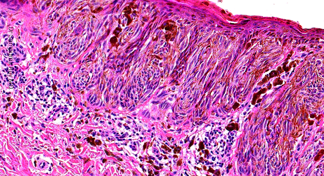
A 10-year-old boy, presented with an uniformly pigmented
lesion with regular margins. The lesion was located on the
medial aspect of the left knee.
Surgical excision with a 2-mm margin was performed.
Comments
Post a Comment