Dermatopathology Case 164
A 75 year old male.
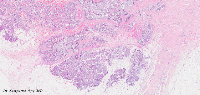
Mass on right arm.
Immunohistochemistry- cytokeratin 20 (+), CAM5.2 (+), Neuron-specific enolase (+)
Answer
A 75 year old male.
Mass on right arm.
Immunohistochemistry- cytokeratin 20 (+), CAM5.2 (+), Neuron-specific enolase (+)
Comments
Post a Comment